削らない虫歯治療の最新事情 : yomiDr. / ヨミドクター(読売新聞)


削らない虫歯治療の最新事情

削る範囲を最小限にする虫歯治療とは

感染した部位を削り、形を整えて小さくなった歯

 虫歯の治療では、感染が進んでしまったところを取り除き、詰めたり、かぶせたりしてふたをする。もし、神経まで進んでいたら、神経を引き抜いてセメントを詰めて塞いだ上からかぶせる。写真のように、虫歯の部位を取り除き、人工物をかぶせるための「土台」として歯を整えると、健康な部分も削らざるを得ず、歯そのものが小さくなってしまう。

 キーンと削られて痛みを感じるのは、健康な歯が削られるためだ。永久歯は、一度削ったら生えてこない。虫歯の再発などで削るたびに小さくなり、歯の喪失につながる危険が増える。修復の寿命については本欄の記事「歯科は予防のため通う」でも触れた。

 そこで、歯科医師の団体「国際歯科連盟」は、削る範囲を最小限にするMI(Minimal Intervention=最小侵襲)という治療の考え方を2000年代から提唱している。削る範囲を小さくする治療に使われるのが、コンポジットレジンと呼ばれる樹脂である。ペーストや液状の素材なので、接着面を整える必要はない。感染部位のみを取り除き、レジンを充填じゅうてんし、光を当てて固める。削る範囲を最小限にとどめ、歯の色で修復することができる。従来の治療は、1回目は削って型を取り、次に詰め物やかぶせ物を入れるので、歯科に2回通わなくてはいけないが、コンポジットレジンによる修復は、直接、口の中で作業をするため、1回で終わるメリットもある。

<コンポジットレジン修復>

感染部位のみ取り除く

コンポジットレジンを充填して形を整える

コンポジットレジンは強度に不安の声

 コンポジットレジンは優れた治療法のように見えるが、弱点も指摘されてきた。「力がかかる奥歯などの大きな修復では、強度に不安がありますね。長く持つ人もいますが、かみ合わせによっては、欠けやすい人もいます。歯がちょっと欠けた時などに用途は限られています」。京都府舞鶴市の竹屋町森歯科クリニック院長の森昭さんはそう語る。歯科医3人と歯科衛生士15人で患者を診てきた経験から、「地域の歯科医の感覚としては、そういう素材です」と言う。健康保険の診療報酬の設定が3000円程度(自己負担はこの3割)と安価なこともあり、小さな修復で使われることが多いようだ。

技術向上で強度高まる

 この素材は技術開発で強度が高まっており、「歯を削らない治療」として幅広い用途に使用する歯科医も増えている。

 静岡県の浜松駅周辺は再開発が進み、駅の北側は県立文化芸術大学を核に高層マンションが立つ新しい街になっている。田代歯科医院は駅から徒歩圏のそんな一角にある。院長の田代浩史さんが毎年主宰する全10回の歯科講習会には、北海道から沖縄まで全国から歯科医が集まってくる。テーマは、「コンポジットレジン修復の発想転換」というものだ。どんな治療をしているのか見てみよう。

歯を失った時、口の中でブリッジを作る

 下の左の写真は、前歯を1本失ってしまったケース。通常はどんな治療が考えられるのだろう。インプラントを勧められるかもしれない。ただ、前歯のあごの骨は一般に薄いので、慎重を要する場合もある。両側の歯を支えにしたブリッジという方法もある。両側の2本の歯を削って、3本の歯が連なった形の人工物をかぶせる。この治療は、健康な歯を削らなくてはならないのが欠点だ。

虫歯で失われた歯

コンポジットレジンで作ったブリッジ

 第3の選択肢として、田代さんはコンポジットレジンでブリッジを作る方法を講習会で指導している。右の写真で、赤い丸で囲んだ3本がブリッジで、形を整えた両側の歯にくっついて支えられている。以前に比べてレジンの強度が高まり、こうした大きな治療が可能になったという。自分の歯を全く傷つけずに、ブリッジがかけられるのである。直接、口の中で作るので、「ダイレクトブリッジ」と呼ばれている。

 田代さんは「インプラントはきれいですが、手術が必要です。通常のブリッジは歯を傷つけますし、ダイレクトブリッジなら健康な歯を傷つけず、2時間ぐらいで作れます」と言う。技術が必要だが、歯科医たちは10日間の講習を終えるとできるようになるという。ただ、強い力がかかる奥歯ではダイレクトブリッジは行っていない。

ページ: 2

 技術の進歩で素材が強くなったと言っても、樹脂のレジンは金属やセラミックに比べると強度は劣り、すり減ったり、欠けたり、変色したりすることがある。自費治療で歯科技工士に作ってもらう「クラウン」と呼ばれるかぶせ物の中には、コンポジットレジンで作った「レジンクラウン」という素材もあるが、セラミックの方が品質に優れるとされている。それに加えて、口の中で直接修復するコンポジットレジン修復には、細菌が集まりやすいと指摘する歯科医もいる。田代さんも「歯科技工士が精密に作ったツルツルの金属やセラミック素材と違って、口の中で作るので歯と歯の間など、研磨しきれない部位も出てきます。細菌が付着しやすいという指摘は認めざるを得ないところがあります」と言う。こう説明されては、やっぱりB級の素材なのか、と思われるかもしれない。

弱点は強み?

 そこが講習会のテーマでもある「発想の転換」になる。すり減ったり、欠けたりするのは、それほど気にしなくても良いのではないかという新たな視点だ。田代さんの師匠に当たる、東京医科歯科大学の田上順次教授が指導してきた考え方である。

 「セラミックは優れた素材ですが、硬いので、向かいの歯を傷めたり、かぶせ物を支える土台になる根が割れたりすることがあります。コンポジットレジンはそれほど硬くないので、かみ合わせに応じて、すり減ってくるので、機能的な問題はありません。かみ合わせは年齢とともに変化し、必要に応じて歯を手直ししていけばいいのです。コンポジットレジンは歯の形も色も簡単に調整できますから、不具合があれば、使いやすく手を加えて歯自体をメンテナンスしていけばいいのです」と田上教授は説明する。

 「一生モノ」と思い切って、高価なセラミックを入れる人もいるだろう。セラミックで上質なかぶせ物を作り、歯を削って土台を整え、ていねいにかみ合わせを調整する。しかし、口の中の歯は、細菌が生息する環境の中で、熱さや冷たさにさらされ、かむ時の強い力に耐えている。完璧に治療をしても、細菌が入り込んだり、体調によっては残っていた細菌が勢いを増したりして、虫歯の再発や根のトラブルに襲われることがある。セラミックや金属でも、欠けたり壊れたりすることはある。再治療となれば、さらに大きく歯を削らなければならない。歯は置物ではなく使うものなので、良い素材で丁寧に治療したからといって長く持つ保証はない。

メンテナンスの考え方を治療費にも

 「歯はメンテナンスをしながら使っていくもの」という考え方は、田代さんの治療費の設定にも表れている。大きな治療は自費負担をお願いしているが、前歯は1本10万円、奥歯は5万円とし、歯の治療代と言うよりも、保証料と考えている。前歯は10年保証で、その間に壊れるようなトラブルがあれば、何度でも無料で治す。奥歯は大きな力がかかるので、保証期間を5年と短くしたので、料金も前歯より安い。「1本10万円の歯を売るのではなく、10万円でその歯を少なくとも10年間は一緒に維持管理していきましょうという考え方です」と説明する。かぶせ物という「モノ」を買うのではなく、歯を使える状態にしておく「こと」にお金を払う。まさに「発想の転換」である。

 とは言え、コンポジットレジンの修復では、細菌が集まりやすいのがやはり気になるが、そこにもまた「発想の転換」があるようだ。田上教授は「コンポジットレジンは接着剤で歯にくっつけるわけですが、金属やセラミック素材のクラウンやブリッジを歯に接着するセメントよりも接着力が1.5倍ぐらい強いのです。ぴったり密着して歯と一体化していれば、歯垢がついても細菌が歯の中に入りにくので、虫歯の再発リスクを減らすことができます」と説明する。

 コンポジットレジン修復という治療方法は、歯学研究の領域のひとつ、接着学から出てきている。歯科治療で接着技術が重要なことは想像がつくが、この分野は日本がリードしているのだという。コンポジットレジンは強度が高まってきたこともあり、用途は広がっている。参考までに、ほかの治療例も紹介しておきたい。

歯が折れた時やスキッ歯にも対応できる

折れてしまった歯

折れてしまった歯

コンポジットレジンで歯を修復

コンポジットレジンで歯を修復

 前歯を折るというのは、中高生が部活中にやってしまうことが多い。旧来型の治療では、歯を削って金属の軸を立て、色を合わせたセラミックなどの歯をかぶせていた。子どもの場合は、成長に伴い歯の色やかみ合わせが変わってくるので、再治療になる可能性が高い。治療を繰り返せば、歯はどんどん小さくなっていく。コンポジットレジンを使えば、歯をほとんど削ることなく修復できる。田代さんは「若い先生は、この方法で治している方が多いと思います」と語るが、従来型の削ってかぶせる治療も行われている。

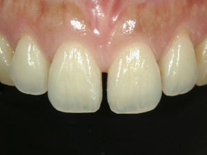
 次は、いわゆるスキッ歯の修復だ。どう治療するか。「歯を削って隙間を埋める形のクラウンをかぶせる」、「薄いセラミックを貼り付ける」、「矯正で治す」といった方法が考えられる。できれば歯を削りたくないし、矯正は時間がかかる。コンポジットレジンで形を整えれば、歯を削らずに、写真のように隙間を埋めることができる。

隙間が開いた前歯

隙間が開いた前歯

2本の歯を少しずつ大きくして隙間を詰めた

2本の歯を少しずつ大きくして隙間を詰めた

 自費診療での価格設定やアフターサービスの考え方は歯科医によって異なる。一般的な治療がいいのか、コンポジットレジンがいいのか、歯の状態やかみ合わせ、歯ぎしりなどの癖の有無によっても、最適な治療は違ってくるだろう。コンポジットレジンを使った「できるだけ削らない歯科治療」は、治療法のバリエーションのひとつとして、頭に入れておいて選んでいただきたい。(渡辺勝敏)

 ※歯の写真は、田代浩史さん提供