中国で歯の治療をしたら凄かった──逆メディカルツーリズム体験記
中国で歯の治療をしたら凄かった──逆メディカルツーリズム体験記

ドイツ製の最新鋭機器を使い、コンピューター上で3Dモデルを制作する(写真提供:筆者)
<ひょんなことから中国の片田舎で歯の治療を受けることになったが、韓国、ドイツ、アメリカで学んだという「海亀派」院長が経営する歯科医院は、最新鋭の機器を備え、驚くほどハイレベルだった>
こんにちは、新宿案内人の李小牧です。
皆さんは「メディカルツーリズム」(医療観光、医療ツーリズム)という言葉をご存じだろうか。海外に出向いて治療を受けることを意味する。
近年、日本政府もメディカルツーリズムの拡大を目指している。主なターゲットは中国の富裕層だ。がん治療などで日本の先進的な治療に期待を寄せる中国人富裕層は確かに多い。私にまで「メディカルツーリズムの会社を作ろう」などと中国人企業家からお誘いがかかってくるほどの注目分野である。
一般的なメディカルツーリズムでは(日中の関係においては)中国人が日本で治療を受けるのだが、私は今回、ひょんなことから「逆メディカルツーリズム」を体験することになった。そう、日本人である私がわざわざ中国に出向いて治療を受けたのだ。
「元・中国人、現・日本人」の私は元祖国の中国も、現祖国の日本も愛している。だが医療に関しては日本のほうが信頼できると思っていた。その私が「逆メディカルツーリズム」を試みることになったのはある出会いがきっかけだ。今年夏、私の中国人ファンが日本にやって来た。話を聞くと、吉林省吉林市盤石市で歯科病院を経営する院長先生だという。
昔の話で恐縮だが、「芸能人は歯が命」というCMがあった。だが私に言わせると、「政治家も歯が命」だ。中国で頻繁に番組出演の機会があるし、清潔感ある政治家になるためにはきれいな白い歯が欠かせないと、私は毎月、歯のクリーニングに通っている。
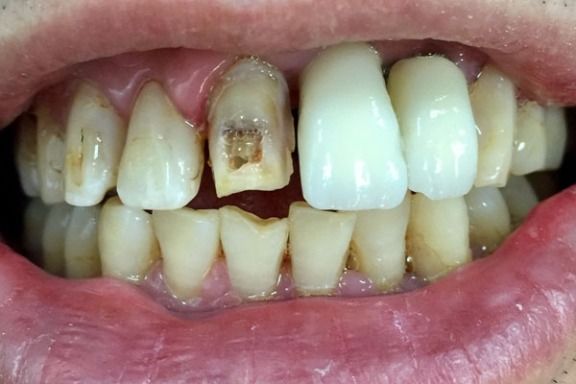
だが、クリーニングだけでは限界がある。そろそろ、虫歯で痛んだ歯を治療し、きれいに修繕する大工事が必要なタイミングだった。とはいえ、保険がきかない治療だけに日本では100万円も掛かるのだという。しかも治療に必要な期間は1年間だ。
ところが、その院長先生によると、彼の病院ならばたった50万円で、しかも1日の治療で全てを終わらせてくれるという。物価の差はあるとはいえ、本当にそんなことが可能なのか......。不安もあったが、いいネタになるという思いもあって、この「逆メディカルツーリズム」にチャレンジすることにした。
田舎ですらこれほどハイレベルな病院があるのだから...
盤石市は中国の片田舎にある小さな町だ。そんな町の病院に期待は禁物だと思っていたが、いい意味で裏切られた。到着してみると、件の歯科医院は立派な建物で、中には最新鋭の機器がいっぱいだ。院長先生は最初に韓国で学び、その後はドイツ、アメリカで学んだ「海亀派」(留学帰国組を意味する中国語。帰国派と似た発音からつけられた掛け言葉)だという。

私の治療に使われる機器もドイツ製の最新鋭機器「セレックシステム」だ。3D光学カメラで患部を撮影し、コンピューター上で3Dモデルを制作。そのデータを元にミリングマシンが修復物を作ってくれる。わざわざ歯型を取る必要はない。

この説明が分からないという人もいるかと思うが、安心してほしい。私もよく分かっていない。だが病院内に並ぶ最新鋭機器、そしてチャッチャッチャッと進んでいく治療工程に度肝を抜かれた。
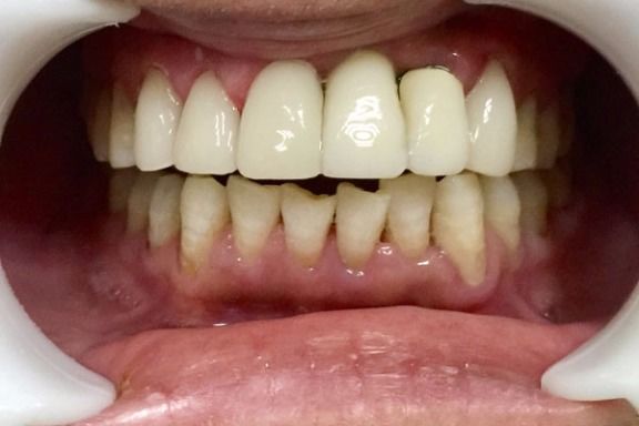
ほぼ丸1日掛けた治療が終わると、私の歯は神々しいばかりの白さになっていた。実は前から2本だけ差し歯を使っていたのだが、新たに治療した部分も前の差し歯と同じ色になるよう調整してくれていて、全く違和感がない。また治療後の腫れもなく、治療の2日後には中国のネット番組に出演することができた。いやはや、中国の片田舎にこれほどの病院があろうとは!


近年、中国経済の成長、とりわけ質の向上が著しい。中国をよく知るビジネスマンから「日本は全ての産業分野で敗北してしまうのではないか」との愚痴をよく聞く。私はもう少し楽観的だ。日本には素晴らしい人材、素晴らしい技術、素晴らしい文化がある。アグレッシブに攻める気持ちさえ失わなければ、十分競争力を保てると思っている。
だが、今回の「逆メディカルツーリズム」で彼らの心配もよく理解できた。中国には金があり、設備投資・技術投資も旺盛だ。田舎ですらこれほどハイレベルな病院があるのだから、都会の大病院の能力は推して知るべきだろう。
日本と中国はライバルではあるが、同時に相補的関係にある。お互いの足りないものを補い合ってウィンウィンの関係が築けるはずだ。しかし、中国に何が足りないのかを知らなければ、補い合うこともできない。急激に変化し成長する中国の今を知ることが必要不可欠だ。
「元・中国人、現・日本人」の私も、真っ白い歯をきらめかせながら、知りうるすべての情報をこのコラムを通じて日本の読者の皆さんに伝えていきたい。
【お知らせ】ニューズウィーク日本版メルマガのご登録を!
気になる北朝鮮問題の動向から英国ロイヤルファミリーの話題まで、世界の動きを
ウイークデーの朝にお届けします。
ご登録(無料)はこちらから=>>