My-Pick-Up

  • Home
rss
  • Published by takaaki August 19th, 2017
    Featured Photo

    オーラルケア後進国「日本」のオーラルケアを世界水準へJリーグ所属チームの子供たちに歯科医が教える「正しい歯磨き講座」開催

    オーラルケア後進国「日本」のオーラルケアを世界水準へJリーグ所属チームの子供たちに歯科医が教える「正しい歯磨き講座」開催 ~1white 1smile in北九州~日時:2017年8月23日(水)15:30~17:00場所:北九州市立平野市民センター(別館多目的ホール) ...
  • Published by takaaki August 19th, 2017
    Featured Photo

    8月20日は「8020(ハチマルニイマル)運動」の日!腸内だけじゃないオーラルケアにも乳酸菌が役に立つ – PRONWEB

    8月20日は「8020(ハチマルニイマル)運動」の日!腸内だけじゃないオーラルケアにも乳酸菌が役に立つ 健康で長生きするため、足腰を鍛えるのも大事だけれど、忘れてならないのが歯の健康だ。ご存知の方もいると思うが、厚生省(当時)と日本歯科医師会では、平成元年より「80歳になっても20本以上自分の歯を保とう」という「8020(ハチマルニイマル)運動」を推進しており、数字のごろ合わせから、8月20日は8020運動の日として患者に働きかけて...
  • Published by takaaki August 18th, 2017

    医療機器のアークレイ、欧州で歯科向け機器の市場開拓

    2017/8/16 7:00情報元日本経済新聞 電子版  医療機器メーカーのアークレイ(京都市)は2017年中に欧州で歯科向け検査装置の販売を始める。発売するのは採取した唾液から虫歯や歯周病のリスクを測定する装置。専門機関に委託せず、小規模なクリニックでも約5分で複数の項目を検査できるのが特徴だ。同様の装置は珍しいという。国内販売が中心だったが、歯科市場の大きい欧州に販路を広げる。  オーストリアなどの展示会に出展し営業活動を始めた。現地の代理店のほか、英国やオランダなどにある自社拠点を通じた販...
  • Published by takaaki August 18th, 2017
    Featured Photo

    【健康科学】インプラント周囲疾患を発見するためのチューインガム | Nature Communications | Nature Research

    【健康科学】インプラント周囲疾患を発見するためのチューインガムブックマーク Nature Communications 2017年8月16日 Health sciences: Chewing gum that detects peri-implant disease 歯科インプラントを原因とする炎症を発見できる診断用チューインガムについて記述された論文が、今週掲載される。このように簡単で「いつでもどこでも誰にでもできる」方法は、インプラント周囲疾患の診断を簡...
  • Published by takaaki August 17th, 2017
    Featured Photo

    歯科現場で「1患者1タービン」の実現へ向けた企画が開催 業界の“信頼回復の一役”となるべく期間限定価格で提供!

    歯科現場で「1患者1タービン」の実現へ向けた企画が開催 業界の“信頼回復の一役"となるべく期間限定価格で提供! 歯科用タービン【拡大】 株式会社エスディーメディカル(本社:大阪府茨木市、代表取締役:大城 太、宋 超 共同代表)は、新聞報道やテレビ番組の影響を考え、スーパーダイソンタービンを期間限定で格安にて販売することを発表し、2017年8月21日から1ヶ月限定でサービスの提供を開始いたします。画像1: https://www.atpress.ne.jp/releases/...
  • Published by takaaki August 16th, 2017
    Featured Photo

    避難所での誤嚥性肺炎防げ 九州豪雨 歯科チームが被災地巡回 阪神大震災では関連死の1/4占め 熊本地震でも続出

    避難所での誤嚥性肺炎防げ 九州豪雨 歯科チームが被災地巡回 阪神大震災では関連死の1/4占め 熊本地震でも続出 2017年08月14日 11時00分  九州豪雨の被災地で、高齢者の誤嚥(ごえん)性肺炎を防止する取り組みが続いている。過去の大災害では、避難生活で免疫力が低下した人たちが発症し、死亡するケースもあった。福岡県朝倉市、同東峰村、大分県日田市では7月末現在、肺炎で搬送された避難者は確認されていない。誤嚥性肺炎は、雑菌が食べ物や唾液と一緒に肺に入って発症することから、歯科医や歯科...
  • Published by takaaki August 12th, 2017

    歯科医院に押し入り医師にけがさせた疑い 近所の男逮捕 | NHKニュース

    歯科医院に押し入り医師にけがさせた疑い 近所の男逮捕8月11日 15時35分先月、東京・足立区の歯科医院に押し入り、歯科医師の女性にナイフを突きつけてけがをさせたとして、近所に住む53歳の男が傷害などの疑いで警視庁に逮捕されました。逮捕されたのは、東京・足立区の電気工、佐藤治容疑者(53)です。警視庁の調べによりますと、佐藤容疑者は先月25日の午後9時半ごろ、自宅の近くにある足立区足立の歯科医院で、診療を終えて出入り口を閉めようとしていた50代の歯科医師の女性に対し、「黙れ。部屋の中に入れ」などとナ...
  • Published by takaaki August 12th, 2017
    Featured Photo

    徳真会グループの歯科技工士林 直樹が「AAED アメリカ審美歯科学会」のAssociate Member に選出されました:時事ドットコム

    徳真会グループの歯科技工士林 直樹が「AAED アメリカ審美歯科学会」のAssociate Member に選出されました 2017年08月11日16時01分 [徳真会グループ] 医療法人 徳真会グループ(理事長 松村博史)に所属する世界トップクラスの⻭科技工⼠である林直樹( Ultimate Styles Dental Laboratory代表) が、米国審美⻭科学会『The American Academy o...
  • Published by takaaki August 9th, 2017
    Featured Photo

    「歯のレントゲン」は何回までやっていいのか | The New York Times

    「歯のレントゲン」は何回までやっていいのか 放射線の安全性と患者がすべきこと 虫歯の診断など定期的な検診のためにCBCTスキャンを行うことは、「絶対に推奨できない」(写真:Syda Productions / PIXTA) 質問:昨日初めて行った歯科医で、レントゲンを22回撮られたうえに、さらに口の中全体を撮影するパノラマレントゲンまでされました。医師はすべての患者に行っていると言います。でも、ばかばかしいほど不必要で危険なように思えます。これについ...
  • Published by takaaki August 9th, 2017
    Featured Photo

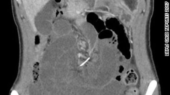
    豪女性、腸に7センチの歯科矯正用針金 10年前にのみ込む

    豪女性、腸に7センチの歯科矯正用針金 10年前にのみ込む 2017.08.09 Wed posted at 10:05 JST IT部門なら知っておくべきOffice 365の最新--コラボレーションツールとして、業務効率アップのカギに 女性の小腸から長さ7センチの歯科矯正用ワイヤーが見つかった (CNN) オーストラリア西部の病院でこのほど、30歳の女性の小腸から長さ7センチの針金が見つかる出来事があった。針金の正体は10...
← View Previous Posts View More Posts →

© 2026 My-Pick-Up.

Powered by Postach.io